技術新突破!浦城縣醫院骨科團隊成功開展浦城首例頸椎內鏡手術,為頸椎病患者帶來福音!
| 2025-07-02 09:47:13??來源:浦城縣醫院 責任編輯:肖練冰 我來說兩句 |
分享到:
|
日前,浦城縣醫院骨科團隊在吳建斌名醫工作室團隊成員張應福副主任醫師(南平市第一醫院)的指導下,順利完成了浦城首例“頸5-6椎間盤突出經后路單側雙通道鏡下C5_6左側神經根管減壓+神經根黏連松解”(UBE微創下“Key-hole”手術)。
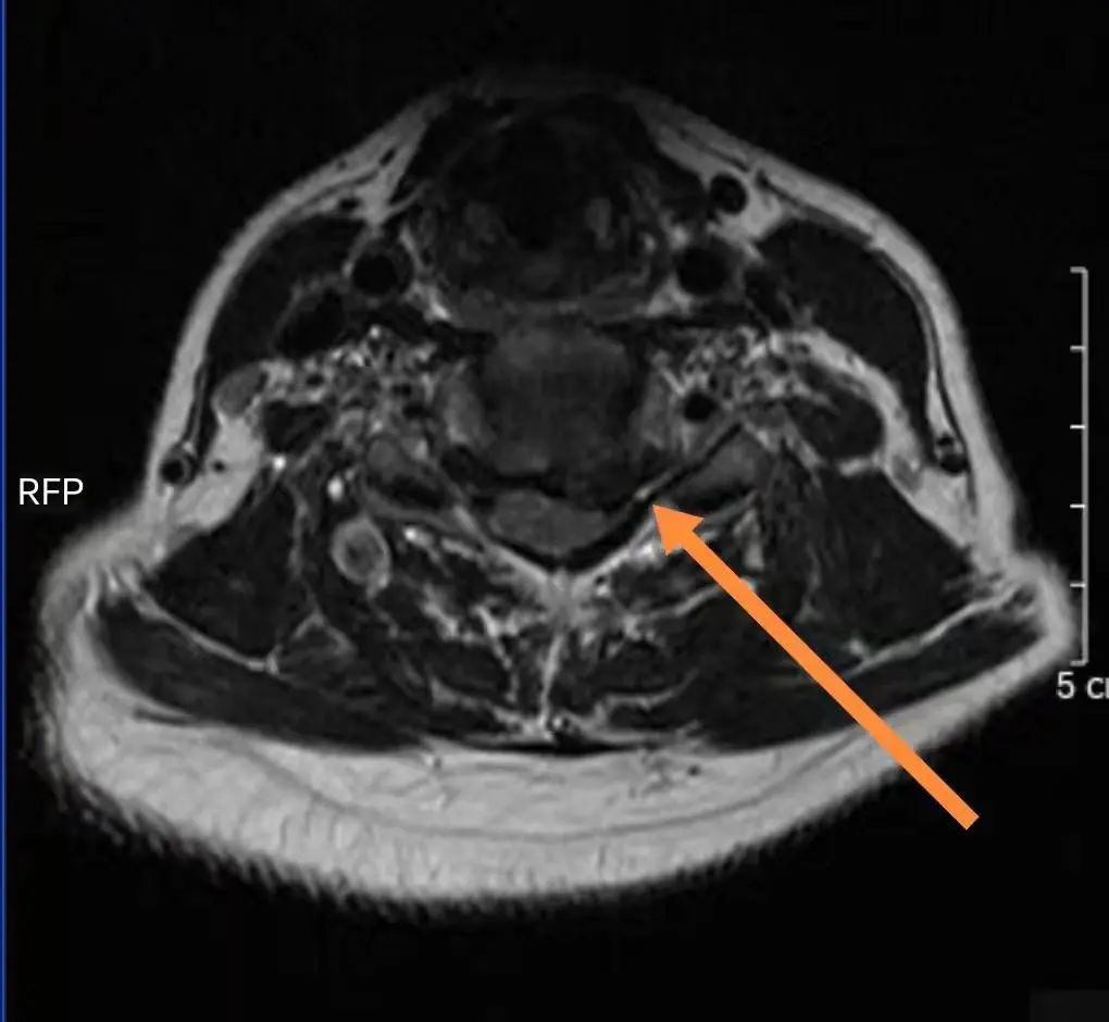
患者飽受神經根型頸椎病困擾數年,左上肢放射痛,痛如針刺,且腕背伸肌力降低至4級,坐臥不安。曾多次予針灸、口服藥物等保守治療,疼痛仍反復發作,沒有明顯改善。本次住院前一周,患者癥狀明顯加重,嚴重影響了日常生活,遂前來縣醫院就診。 入院后,骨科負責人、主任醫師陳如孫為其進行了詳細的查體,并仔細詢問病史,通過磁共振檢查發現:患者頸5-6椎間盤向左后方突出,明顯壓迫左側神經根,左側隱窩狹窄。
根據患者的病情,陳如孫與骨科副主任醫師徐晟一起制定了詳細的治療方案,并對患者及家屬進行了詳細的解釋,告知其可進行微創手術進行治療,僅需兩個不到2cm的創口即可解決疼痛。 經過與患者及家屬的溝通并經得同意后,骨科團隊進行了充分的術前準備。6月21日,在吳建斌主名醫工作室團隊成員、副主任醫師(南平市第一醫院骨科)張應福的指導下,陳如孫、徐晟副及麻醉科團隊、手術室護理團隊齊心協作,為患者在全麻下進行了“頸5-6椎間盤突出經后路單側雙通道鏡下C5_6左側神經根管減壓+神經根黏連松解”(Key-hole手術)。術中神經完整保護,神經根徹底松解。整個手術過程非常順利,術后僅兩個一厘米左右的小切口,患者上肢神經癥狀明顯緩解,第二天即可戴頸托下地活動。 術后患者癥狀明顯好轉,反饋十分滿意,手術取得圓滿成功。此項技術的成功開展填補了浦城縣醫院在頸椎內鏡 key - hole手術領域的空白,也標志著縣醫院骨科團隊在微創治療領域邁上了一個新的更高的臺階。 |
相關閱讀:
![]() |
![]() |
打印 | 收藏 | 發給好友 【字號 大 中 小】 |






